面瘫症状表现图
面瘫症状表现图...(129)人阅读时间:2018-06-13
令人闻风丧胆的恐怖疾病
令人闻风丧胆的恐怖疾病...(196)人阅读时间:2018-06-13
宫颈息肉实拍
宫颈息肉实拍...(99)人阅读时间:2018-06-13
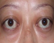
甲亢早期症状图
甲亢早期症状图...(160)人阅读时间:2018-06-13
精子和卵子“对话”
精子和卵子“对话”...(128)人阅读时间:2018-06-13
孕妇新时尚 肚皮彩绘也疯狂
孕妇新时尚 肚皮彩绘也疯狂...(66)人阅读时间:2018-06-13
我是可爱的灰太狼
我是可爱的灰太狼...(74)人阅读时间:2018-06-13
史上最全的女性避孕法
史上最全的女性避孕法...(78)人阅读时间:2018-06-13
霍思燕发嗯哼照片 可爱萌娃
霍思燕发嗯哼照片 可爱萌娃...(145)人阅读时间:2018-06-13
可爱BABY大眼睛卖萌
可爱BABY大眼睛卖萌...(117)人阅读时间:2018-06-13